폐결절 원인 및 증상을 알아봤습니다. 폐결절이라는 말은 좀 생소한데요. 물론 폐결절 모두가 암으로 변하진 않지만 마땅한 전조증상이 없기 때문에 더욱 질병에 대해 숙지해야 합니다.

목차
1. 폐결절이란?
2. 폐결절 크기
3. 폐결절 원인
4. 폐결절 증상
5. 폐결절 진단과 검사
6. 폐결절 수술 및 치료
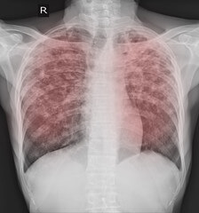
폐결절이란?


폐결절은 폐에 형성되는 작은 덩어리 또는 종양을 의미합니다. 이러한 결절은 폐의 X선이나 기타 영상 검사를 통해 발견될 수 있으며 다양한 원인에 의해 발생할 수 있습니다. 폐결절은 종종 미립자, 감염, 염증, 혹은 기타 조직의 비정상적인 성장으로 인해 형성될 수 있습니다.
가장 흔한 원인 중 하나는 폐의 고정성 경색(폐 혈전)입니다. 다른 원인으로는 결절성 피부 질환인 피종성 사막사슬균감염 (Coccidioidomycosis)과 같은 감염성 질환, 암의 전이, 폐포증 (Pneumocystis pneumonia) 등이 있습니다. 폐결절이 발견되면 추가적인 폐 검사가 필요할 수 있습니다.
이는 폐결절의 크기, 형태, 위치 및 환자의 증상에 따라 달라질 수 있습니다. 종종 폐 결절의 자세한 평가를 위해 CT 스캔이 사용되며, 종양성 여부를 확인하기 위해 생검도 수행될 수 있습니다.
중요한 점은 모든 폐결절이 악성 종양 (암)은 아니라는 것입니다. 사실, 많은 폐결절은 양성이며, 특별한 치료 없이도 자연적으로 해결될 수 있습니다. 그러나 모든 폐결절은 관찰이 필요하며, 악성 종양 가능성을 배제하기 위해 의사와 함께 폐결절에 대한 적절한 평가와 후속 조치를 계획하는 것이 중요합니다.
폐결절 크기


폐결절의 크기는 종양의 크기에 따라 다양할 수 있습니다. 일반적으로, 폐결절은 직경이 3 센티미터 (약 1.2 인치) 이하인 작은 크기의 덩어리를 가리킵니다. 그러나 종양이 폐결절로 분류되기 위해서는 그 크기가 일정 기준을 충족해야 할 수도 있습니다.
폐결절의 크기에 따라 종양의 성격을 확인하는 것이 중요합니다. 일반적으로 폐결절이 3 센티미터보다 큰 경우, 악성 종양의 가능성이 높아질 수 있습니다. 또한 폐결절의 성장 속도, 형태, 특징 및 기타 임상적인 요소도 평가에 중요한 역할을 합니다.
- 작은 폐결절: 3 센티미터 이하의 크기를 가지는 폐결절로, 종종 양성 종양의 가능성이 높습니다.
- 중간 폐결절: 3~5 센티미터 크기의 폐결절로, 악성 종양의 가능성이 증가할 수 있습니다.
- 큰 폐결절: 5 센티미터 이상의 크기를 가지는 폐결절로, 악성 종양의 가능성이 높아집니다.
이러한 분류는 일반적인 지침이며, 폐결절 평가는 종양의 크기뿐만 아니라 다른 요소들도 고려하여 전문의의 의견을 받는 것이 중요합니다.
폐결절 원인


35세 미만의 비흡연자에게서 발견되는 폐 결절이 악성일 확률은 극히 낮습니다. 한 대규모 연구에서 CT에서 발견된 12,029개의 결절을 검사했을 때 최종적으로 악성 종양으로 진단된 결절은 144개, 즉 1%에 불과했습니다.
결절이 악성종양일 경우 조직형이 선암인 경우가 많은 것으로 알려져 있으며 국내에서는 아직까지 결핵에 의한 육아종과의 감별진단이 필요한 경우가 많다. 시행되어야 한다 양성 결절의 약 80%는 감염에 의한 육아종이며, 약 10%는 과오종인 것으로 알려져 있습니다.
1. 감염성 질환
감염은 폐결절의 주요 원인 중 하나입니다. 폐에 감염이 발생하면 면역 반응으로 인해 폐결절이 형성될 수 있습니다. 예를 들어, 피종성 사막사슬균감염 (Coccidioidomycosis)은 폐결절 형성을 일으킬 수 있는 감염성 질환입니다.
2. 염증
폐의 염증은 폐결절의 형성을 초래할 수 있습니다. 염증은 다양한 원인으로 발생할 수 있으며, 예를 들어 폐포증 (Pneumocystis pneumonia)이나 결핵 등이 있습니다.
3. 종양
종양은 다른 조직과 마찬가지로 폐에서도 발생할 수 있습니다. 종양은 양성이 될 수도 있고 악성이 될 수도 있으며, 이들은 폐결절로 나타날 수 있습니다. 폐암은 가장 흔한 악성 종양 중 하나입니다.
4. 혈전
폐에 혈전이 형성되면 폐결절이 발생할 수 있습니다. 폐 혈전은 폐동맥에 혈전이 형성되는 폐색전증이 원인이 될 수 있습니다.
5. 유전적 요인
일부 폐결절은 유전적인 원인에 의해 발생할 수 있습니다. 특정 유전병이나 질환은 폐결절의 형성을 촉진시킬 수 있습니다.
6. 혈관 문제
폐결절은 혈관 문제로 인해 발생할 수 있습니다. 예를 들어, 폐동맥에서 혈전이 발생하는 폐색전증은 폐결절의 원인이 될 수 있습니다.
7. 폐섬유화
폐섬유화는 폐조직의 흉터화에 의해 발생하는 만성적인 폐질환으로, 폐결절을 형성할 수 있습니다.
8. 기생충 감염
특정 기생충 감염은 폐결절의 원인이 될 수 있습니다. 예를 들어, 암연충 (Echinococcus)이나 기타 기생충 감염은 폐결절을 형성할 수 있습니다.
9. 기타 조직 이상
기타 조직 이상이나 비정상적인 성장도 폐결절을 초래할 수 있습니다. 예를 들어, 특정 육종이나 폐부위에 발생하는 낭종은 폐결절로 나타날 수 있습니다.
폐결절 증상

폐결절 자체로는 특정한 증상을 일으키지 않습니다. 대부분의 경우, 폐결절은 우연히 X선, CT 스캔 또는 기타 영상 검사를 통해 발견됩니다. 그러나 폐결절이 암 또는 기타 질환의 일부로 인해 발생한 경우, 해당 질환에 따라 다양한 증상이 나타날 수 있습니다.
폐결절이 암의 일부로 발생한 경우, 폐암의 증상과 관련이 있을 수 있습니다.
- 만성 기침: 폐암으로 인해 발생한 폐결절은 기침을 유발할 수 있습니다. 기침은 가래와 함께 나타날 수 있으며, 일반적으로 지속적이고 악화되는 경향이 있습니다.
- 호흡 곤란: 폐암으로 인해 폐결절이 성장하면 호흡 곤란이 나타날 수 있습니다. 이는 숨쉬기가 어려워지거나 숨이 차다는 느낌을 주로 동반할 수 있습니다.
- 가슴 통증: 큰 폐결절이 주변 조직에 압력을 가하거나 신경을 자극할 경우 가슴 통증이 발생할 수 있습니다.
- 체중 감소: 폐암은 식욕 감퇴, 소화 문제 또는 대사의 변화로 인해 체중 감소를 초래할 수 있습니다.
- 피토물: 혈관 내부의 폐결절로 인해 폐동맥 출혈이 발생하면 기침이나 구토를 동반한 피토물이 나타날 수 있습니다.
폐결절 진단과 검사


흉부 X선 검사
폐결절은 보통 흉부 X선으로 처음 발견될 수 있습니다. X선은 폐결절의 크기와 일반적인 특징을 파악하는 데 도움이 될 수 있습니다. 그러나 X선은 폐결절의 세부적인 특성을 파악하기에는 제한적일 수 있습니다.
흉부 전산화단층촬영(CT)
CT 스캔은 폐결절을 더 자세히 평가하는 데 사용됩니다. CT는 폐결절의 크기, 형태, 밀도, 혈관의 관계 등을 상세하게 보여줄 수 있습니다. 또한 3D 재구성을 통해 폐결절의 위치와 주변 구조를 더 잘 확인할 수 있습니다.
폐 조직검사
폐결절이 악성 종양일 가능성이 높을 경우, 생검이 수행될 수 있습니다. 생검은 폐결절에서 조직 샘플을 채취하여 병리학적 평가를 수행하는 것을 의미합니다. 조직검사는 수술적인 절차(열린 생검 또는 소수의 폐 조직을 채취하는 첨단 생검) 또는 소위 말하는 폐생검이나 가슴경피생검과 같은 비침습적인 방법으로 진행될 수 있습니다.
PET-CT
양성 폐결절과 악성 폐결절을 구분하기 위해 양성 폐결절에서 악성 종양의 확산을 평가하기 위해 긍정전자방출단층촬영(PET)과 CT가 결합된 PET-CT 검사가 수행될 수 있습니다. PET-CT는 악성 종양의 대사 활동을 검출하는 데 도움이 되며, 암의 전이 여부를 확인하는 데에도 유용합니다.
폐결절 수술 및 치료
수술

비디오 흉강경(Video-assisted thoracoscopic surgery, VATS)는 폐결절 제거와 같은 흉부 수술을 수행하는 데 사용되는 최첨단 수술 기술입니다. VATS는 작은 절개를 통해 카메라와 특수한 수술 도구를 사용하여 흉강 내부를 시각화하고 조작하는 절차입니다.
전신 마취를 받은 후 측구 접근을 위해 측면 또는 후면에 누워 있습니다. 폐에 접근하기 위해 작은 절개가 가슴 벽에 만들어집니다. 카메라 포트를 통해 카메라가 흉강 내부로 삽입됩니다. 이를 통해 의사는 화면에서 흉강 구조물을 실시간으로 볼 수 있습니다.

추가적인 작은 절개가 필요할 수 있으며, 이를 통해 수술 도구가 삽입됩니다. 카메라와 도구를 사용하여 폐결절을 정확하게 확인하고 제거합니다. 필요한 경우 주변 림프 노드도 제거할 수 있습니다.
수술이 완료되면 작은 절개를 닫고 상처를 치료합니다. 필요한 경우 흉관(drainage tube)을 삽입하여 흉강 내의 공기나 액체를 배출합니다. 비디오 흉강경 수술은 전통적인 개방적인 수술에 비해 작은 절개와 적은 통증, 빠른 회복 시간을 제공하는 장점이 있습니다.
기타치료

방사선 치료: 방사선 치료는 암 세포를 파괴하기 위해 고에너지 X선 또는 기타 방사선을 사용하는 치료 방법입니다. 방사선 치료는 수술 전후에 보조적인 치료로 사용될 수 있으며, 폐결절이 수술로 제거되지 못하는 경우에도 적용될 수 있습니다.
화학 요법: 암 세포를 파괴하거나 성장을 억제하기 위해 항암 약물을 사용하는 치료로서, 암 종류와 환자의 상태에 따라 단독 또는 수술, 방사선 치료와 함께 사용될 수 있습니다.
대상 항암 치료: 특정 유전자 변이나 단백질 표적을 가지고 있는 종양에 대해 효과적인 약물을 사용하는 치료입니다. 이러한 치료는 종양을 특정 단백질에 대해 공격하는 데 중점을 둡니다.
대상포진 초기증상 대표 6가지 및 통증
대상포진 초기증상 대표 6가지 및 통증, 치료방법에 대해 알아봤습니다. 대상포진이 걸리면 무엇보다 통증이 심해서 매우 힘들어하는데요~ 그래서 하루빨리 증상이 나타나면 병원에 가야 합니
beaute0202.com
냉방병 증상 구토, 열, 두통, 설사를 하는 이유는?
냉방병 증상 구토, 열, 두통, 설사를 하는 이유를 알아봤습니다. 우리 몸은 생각보다 더 많이 체계적이기 때문에 분명히 이유가 있습니다. 그 원리를 잘 읽어 보시고 냉방병을 조심하자고요! 목
beaute0202.com
혈당스파이크 증상과 높아지는 이유
혈당 스파이크 증상과 높아지는 이유를 알아봤습니다. 우리나라 중년이면 누구나 걸릴 수 있는 질병 중 가장 많은 질병이 당뇨입니다. 이제는 젊은 층에서도 당뇨가 나타나고 있습니다. 어떤 증
beaute0202.com
콜레스테롤 낮추는 음식 10가지
콜레스테롤 낮추는 음식 10가지를 알아봤습니다~ 이런 음식들이 왜 콜레스테롤을 낮추는지 원리도 설명했으니 꼼꼼하게 읽어 보시기 바랍니다. 목차 1. 콜레스테롤이란? 2. 콜레스테롤 정상수치
beaute0202.com
편도결석 빼는법, 집에서 빼는법 및 예방법
편도결석 빼는법, 집에서 빼는법 및 예방법을 알아봤습니다. 집에서 편도결석 빼는법과 병원에서는 편도결석을 어떻게 제거하는지 참고하시기 바랍니다. 목차 1. 편도결석이란? 2. 편도결석 증
beaute0202.com
기초대사량 계산기, 여자, 남자
기초대사량 계산기, 여자, 남자, 기초대사량 높이는 방법. 여러분의 신체 조건과 활동 수준에 기반하여 기초대사량을 빠르고 쉽게 추정할 수 있는 기초대사량 계산기가 많이 나와있습니다. 이
beaute0202.com
안압 낮추는법, 안압이 높은 이유
안압 낮추는법, 안압이 높은 이유. 눈 안압을 낮추는 것은 눈 건강을 유지하기 위해 중요한 요소입니다. 안압이 지나치게 높으면 시력 손실이나 심지어 녹내장 등 심각한 질환을 초래할 수 있습
beaute0202.com
허벅지 쥐났을때, 다리 쥐났을때
허벅지 쥐났을때, 다리 쥐났을때 통증은 일상생활을 제압하고 활동을 제한할 수 있는 불편함을 초래합니다. 허벅지 쥐에 시달리는 분들에게 유용한 팁과 조언을 제공하여 건강한 허벅지 근육을
beaute0202.com
잇몸 내려앉음 증상, 원인과 진행과정
잇몸 내려앉음 증상, 원인과 진행과정. 잇몸 건강은 우리 전체 건강과 밀접한 관련이 있습니다. 하지만 잇몸 내려앉음은 많은 사람들이 경험하는 문제 중 하나입니다. 이번 블로그에서는 잇몸
beaute0202.com
센시아 효능, 정맥순환 개선과 다리부종
센시아 효능, 정맥순환 개선과 다리부종, 정맥순환 장애는 남녀 모두에게 나타나지만 여성에게 더 자주 발생하는 것으로 보고되고 있습니다. 여성의 유병률이 높은 이유는 임신 시 커진 자궁이
beaute0202.com
천심련 효능 6가지 및 부작용
천심련 효능 6가지 및 부작용에 대해서 알아봤습니다. 천심련은 인도에서 수세기 동안 전통적으로 사용되어 온 식물로, 최근에는 다양한 건강상의 이점이 인정되어 주목받고 있습니다. 이제는
beaute0202.com
카베진 효능과 부작용, 양배추즙 MMSC
카베진 효능과 부작용, 양배추즙 MMSC 성분이 함유되어 있습니다. 그렇다면 카베진와 양배추즙 대표적인 MMSC 성분이 우리 인체에 어떤 작용을 하는 지와 카베진과 제산제 차이점을 알아봤습니다.
beaute0202.com
미주신경성 실신, 원인 및 증상
미주신경성 실신, 원인 및 증상을 알아봤습니다. 때때로 사람은 오랫동안 서 있거나 과도한 스트레스를 받은 후 갑자기 의식을 잃고 쓰러질 수 있습니다. 교감 신경이 어떤 원인에 의해 흥분되
beaute0202.com
모로실 다이어트, 모로오렌지로 체지방 태우자.
모로실 다이어트, 모로오렌지로 체지방 태우자, 모로실은 생소한 단어이긴 합니다. 모로실 안에 들어있는 성분들은 생각보다 많은 효능이 있습니다. 그 중에 가장 반가운 효능은 아무래도 체지
beaute0202.com
'힐링 지식' 카테고리의 다른 글
| 장미색 비강진 원인, 치료, 재발 (1) | 2023.07.22 |
|---|---|
| 생리할때 배나옴, 생리전 배나옴 (1) | 2023.07.19 |
| 배란통 증상, 복부통증, 설사, 두통 (0) | 2023.07.17 |
| 기면증과 뇌의 관계 및 원인, 증상, 치료 (0) | 2023.07.14 |
| 파상풍 초기증상 및 주사 기간 (3) | 2023.07.13 |
댓글