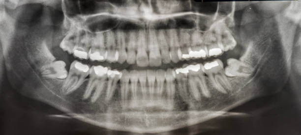
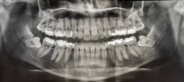
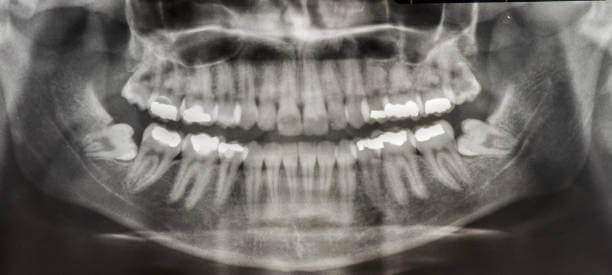
사랑니 발치 후 식사, 드라이소켓이 생기는 이유에 대해 알아봤습니다. 사랑니 위치와 발치를 한 후에 조심해야 할 사항들, 사랑니를 발치하지 않으면 생기는 질병까지 꼼꼼히 읽어 보시기 바랍니다.
목차
1. 사랑니는 인간의 진화
2. 명칭은 제3대구치
3. 사랑니로 인한 질병
4. 사랑니를 꼭 발치 해야 할까?
5. 드라이소켓
6. 사랑니 발치 후 관리 법 및 주의사항
사랑니는 인간의 진화


사랑니가 나는 이유는 명확하지 않지만 인류학자들은 사랑니가 진화의 신호라고 믿습니다. 과거에 인간은 날고기, 견과류, 뿌리와 같은 질기고 거친 음식을 먹었습니다. 그러다 1만 년 전 농사를 짓기 시작하면서 부드러운 음식을 먹기 시작했고 그 결과 튀어나온 턱이 점차 들어가기 시작했습니다.
인류의 턱이 작아지면서 입안 깊숙이 사랑니가 자랄 공간이 부족해졌고 이 때문에 사랑니는 눕거나 발치하는 등 썩거나 염증이 생기기 쉬운 모양으로 나오는 경우가 많습니다.
명칭은 제3대구치


인간은 사랑니를 제외하고 상하 14개의 영구치를 가지고 있습니다. 중앙에 한 쌍의 앞니, 한 쌍의 옆 앞니, 한 쌍의 송곳니, 두 쌍의 작은 어금니, 두 쌍의 어금니가 있습니다. 이 두 어금니보다 작고 큰 어금니 바깥쪽으로 자라는 치아를 '사랑니'라고 합니다. 사랑니의 학명은 '제3대구치'로 세 번째로 큰 어금니를 의미합니다.
사랑니가 다 있게 되면 위턱과 아래턱 양쪽에 하나씩 총 4개가 됩니다. 약 7%의 사람들은 사랑니가 전혀 없으나 만약 가지고 있다면 치아의 수는 사람마다 1~4개로 다양합니다.
사랑니는 보통 정상적으로 나오고 깨끗하게 유지되면 문제없이 사용할 수 있습니다. 그러나 공간이 부족한 치열의 가장 안쪽 끝에 위치하는 경우가 많기 때문에 관리가 어려우며 각종 질환을 유발할 수 있습니다.
사랑니로 인한 질병


사랑니는 다른 치아에 비해 크기와 모양이 매우 다양합니다. 사랑니는 똑바로 나오지 않고 기울어져 있거나 누워있는 경우 잇몸에 묻혀 있는 부분이 많습니다.
이 때문에 음식물 찌꺼기가 잇몸과 사랑니 사이에 끼기 쉽고 칫솔이 사랑니에 잘 닿지 않아 썩는 경우가 많고 제대로 청소하지 않으면 세균이 번식하고 염증이 생기기 쉬운 상태가 됩니다.

잇몸이 부어 오르거나 아플 때 감염이 느껴지고 위턱에 있는 사랑니가 부은 잇몸을 씹으면 더 불편 해집니다. 충치는 사랑니와 사랑니 앞 치아의 뒷면에도 형성될 수 있습니다. 이러한 충치는 종종 과소 검사되며 치통이 있을 때 가장 자주 발견됩니다. 심하면 양쪽 치아를 모두 뽑아야 하는 경우도 있습니다.
사랑니 주변에 염증이 생기면 잇몸이 붓고 볼이 붓고 침이나 음식을 삼키기 어려워지며 두통이 생깁니다. 목이나 턱뼈 안쪽으로 퍼지는 경우가 많아 입을 벌리기 어렵고 때로는 입원이 필요할 정도로 심한 사람들이 많습니다.
사랑니를 꼭 발치 해야 할까?


때때로 사랑니가 뼈에 묻혀서 그 주위에 낭종과 같은 것을 일으켜 뼈를 손상시키기 때문에 사랑니를 발치하는 경우가 많습니다. 그러나 사랑니는 뼈가 잘 발달되어 있고 잇몸으로 덮여 있지 않다면 발치 할 필요가 없다고 합니다.
사랑니가 제 역할을 할 만큼 잘 나오고 있는지, 주변 치아나 잇몸, 뼈에 해를 끼칠 수 있는지 판단하는 것보다 전문의를 찾아가는 것이 좋습니다.
드라이소켓이란?


드라이소켓은 사랑니 발치 후 제대로 치유되지 않아 붓거나 염증이 발생하면서 통증이 나타날 수 있습니다. 사랑니 발치 후의 대표적인 부작용으로는 상처 치유 과정에서 혈전이 제대로 형성되지 않거나, 형성되더라도 3일 이내에 제거되어 사랑니 아래 잇몸뼈가 그대로 노출됩니다.
잇몸이 노출되면 입안에 남아있던 세균이 침투해 염증을 일으켜 심한 통증을 유발할 수 있습니다. 또한 잇몸의 경우 다른 신체 조직과 달리 딱지가 한번 빠지면 다시 형성되기 어려우므로 사랑니 발치 후 드라이소켓이 의심된다면 빠른 시일 내에 치과에서 봉합하는 것이 필요합니다.
사랑니 발치 후 관리 법 및 주의사항


양치 방법
양치할 때 칫솔이 상처에 닿을 위험이 있으므로 최소 1~3일은 양치질을 건너뛰고 가글과 물로 입을 헹구는 방식으로 진행하는 것이 좋습니다.
가글 제품은 약 24시간 경과 후 사용을 권장하며, 그전에는 물로만 가글을 하고 가글 시 너무 세게 뱉으면 상처가 생길 수 있으니 주의해야 합니다.
운동 방법
과격한 운동의 경우 작은 절개라도 잇몸을 절개하여 치아를 빼기 때문에 회복에 지장을 줄 수 있으며, 아직 치유된 상처가 압력에 의해 열리면서 재출혈이 발생할 수 있습니다.
따라서 최소 3~4일 정도는 일상적인 활동만 하시고, 일주일 정도는 격렬한 운동이나 격렬한 활동을 삼가시기 바랍니다.
진통제 먹기
발치 후 처방된 약은 항생제, 진통제, 외용보호제 등을 처방합니다. 또한 타이레놀과 같은 진통제를 함께 복용하면 통증을 더욱 줄일 수 있습니다.
발치 후 음식


제거 후 마취가 풀리는 날에는 가급적 적게 씹고 소화가 잘 되는 음식을 드시는 것이 좋습니다. 사랑니 발치 후에는 과즙, 죽, 두부, 국, 카스테라, 요거트, 등을 섭취하는 것이 좋습니다. 통증이 심하지 않고 씹을 수 있다면 국을 밥과 함께 먹어도 되지만 맵거나 자극적인 반찬은 가급적 피하고 딱딱한 음식은 자제하는 것이 좋습니다.
사랑니 발치 후에는 음식에 신경을 써야 하는데 발치 부위가 2~3일 동안 완전히 아물지 않은 상태이기 때문에 매운 음식을 먹으면 자극을 받을 수 있으며, 딱딱하고 자극적인 음식은 가급적 피하는 것이 좋습니다.
또한 붓기가 심하신 분들은 붓기를 먼저 빼 주셔야 하는데 젖은 수건이나 얼음주머니로 1~2일 정도 붓기를 제거한 후 드셔도 됩니다.
사랑니 발치 후 식사 시 주의할 점은 물이나 음료를 마실 때 빨대를 사용하면 안 된다는 점입니다. 빨대로 물을 마시는 것이 통증에 좋다고 생각할 수 있지만 빨대를 사용할 경우 음압으로 인해 치유된 혈관이 터져 출혈이 발생할 수 있으니 빨대 사용을 피해주시기 바랍니다.
에이즈 초기증상, 감염경로와 치료
에이즈 초기증상, 감염경로와 치료. 인체 면역세포를 파괴하는 에이즈는 왜 걸리는 걸까요? 감염경로가 남자여자 관계가 아니더라도 감염될 수는 있습니다. 진단과 증상이 바로 나타나지 않기
beaute0202.com
매스틱 효능, 위 건강을 지키는 나무
매스틱 효능, 위 건강을 지키는 나무가 있습니다. 이는 자일리톨 프로폴리스와 함께 세계 3대 항생물질 중 하나로 알려져 있으며 강력한 살균, 항염,항균 작용을 합니다. 또한 프로폴리스보다 16
beaute0202.com
돌외잎 효능, 다이어트를 해야 한다면?
돌외잎 효능 다이어트를 해야 한다면? 젊을 때는 며칠만 굶어도 살이 빠지더니 이제는 며칠을 굶어도 살이 꿈쩍도 하지 않습니다. 나이 먹는 것도 서러운데 살까지 떠나려 하지 않네요. 요즘에
beaute0202.com
타이레놀 효능, '아세트아미노펜' 중요성
타이레놀 효능, '아세트아미노펜' 중요성, 열이 나면 타이레놀부터 찾아서 먹게 되는 거 같습니다. 심한 열은 경련과 장기 세포 손상을 유발할 수 있기 때문입니다. 항상 타이레놀은 좋은 효능만
beaute0202.com
항생제 내성이 생길까? 진통제 내성?
항생제는 왜 내성이 생길까? 약을 먹으면 내성이 생길 까 봐 겁을 내는 사람들이 많습니다. 약물의 내성은 약을 먹을 때 반복적인 복용에 의해 약효가 떨어지는 현상을 말합니다. 어떤 세균으로
beaute0202.com
림프순환 마사지, 이것을 자극하면 안색이 좋아진다.
림프순환 마사지를 왜 하냐고 물어보면 면역력이 좋아지게 하기 위해서입니다. 면역력이 강하면 외부에서 세균이나 독소가 침범해 왔을 때 침범한 균들을 물리칠 수 있는 저항력이 생기게 됩니
beaute0202.com
내장지방 빼는 법, 관리 잘하고 건강하게 살 빼자
내장지방 빼는 법은 누구나 알고 있지만 실천하기 어렵다. 살이 찐다는 것은 체지방이 증가하는 것을 의미하며, 피하지방과 내장지방으로 이루어진다. 내장지방은 장기와 장기 사이에 채워진
beaute0202.com
'힐링 지식' 카테고리의 다른 글
| 피똥싸는이유, 원인6가지와 개선방법 (1) | 2023.03.17 |
|---|---|
| 적녹색약 테스트 유전적인 질환, 더글로리 '전재준' (0) | 2023.03.16 |
| 감마지티피 수치, alt, ast, 감마 GTP(간 수치 정상 수치) (0) | 2023.03.14 |
| 클라인펠터 증후군, 남자가 유방이 나온다면? (0) | 2023.03.13 |
| 망막전막증, 시력이 갑자기 떨어진다면? (0) | 2023.03.10 |
댓글