뇌전증 전조증상, 원인과 진단 내용입니다. 뇌전증은 예상치 못한 증상과 고통을 야기할 수 있습니다. 이 블로그 글에서는 뇌전증의 전조증상에 대해 알아보고, 조기 발견과 관리의 중요성을 이야기하겠습니다.

목차
1. 뇌전증이란?
2. 뇌전증 원인
3. 뇌전증 전조증상
4. 뇌전증 진단
뇌전증이란?

뇌전증은 뇌에서 발생하는 반복적이고 예측할 수 없는 전기적인 활동의 혼란으로 인해 발생하는 신경학적인 질환입니다. 정상적인 뇌 활동은 일정한 전기 신호를 통해 조절되지만, 뇌전증 환자의 경우 이 신호가 불규칙하고 과도하게 발생합니다. 뇌전증은 다양한 원인과 형태를 가지고 있으며, 개인마다 증상과 경과는 다를 수 있습니다.
일부 사람들은 작은 간질 발작이나 의식 잃음과 같은 규칙적이고 예측 가능한 증상을 경험할 수 있습니다. 그러나 다른 사람들은 갑작스럽고 강력한 발작, 몸의 경련, 인식 손실 등 심각한 증상을 겪을 수도 있습니다. 뇌전증의 원인은 다양한 요소에 의해 발생할 수 있습니다.
유전적인 요인, 뇌손상, 발달 이상, 유해한 환경 요소, 약물 사용 등이 그 예입니다. 또한, 대부분의 경우 정확한 원인을 찾기는 어렵습니다. 뇌전증은 현재는 완전히 치료되지는 않지만, 적절한 치료와 관리를 통해 증상을 통제하고 예방하는 것이 가능합니다. 약물 치료, 수술, 신경망 자극 등 다양한 치료 방법이 사용될 수 있습니다.
또한, 일상적인 예방 조치와 생활 습관의 변화도 발작의 빈도와 심도를 감소시키는 데 도움이 될 수 있습니다. 뇌전증은 사람들의 삶에 영향을 미치는 신경학적인 질환이지만, 적절한 관리와 지원을 받으면 많은 사람들이 완전한, 활발한 삶을 살아갈 수 있습니다.
뇌전증 원인


유전적 요인
뇌전증의 유전적인 요인은 개인의 유전자에 의해 뇌전증 발병 가능성이 높아지는 것을 의미합니다. 유전자는 우리의 유전 정보를 담고 있는 DNA 내에 위치한 작은 단위입니다. 이러한 유전자는 뇌의 전기 신호를 조절하는데 관여하는 단백질을 생성합니다. 일부 사람들은 뇌전증과 관련된 유전적 변이를 갖고 있을 수 있습니다.
이러한 변이는 뇌의 전기 활동을 조절하는 단백질의 생성에 영향을 줄 수 있으며, 결과적으로 뇌의 신호 전달이 정상적으로 이루어지지 않을 수 있습니다. 이러한 유전적 변이는 개인마다 다르며, 어떤 변이는 뇌전증의 발병 위험을 증가시킬 수 있습니다. 유전적인 요인은 뇌전증을 가족 내에서 상속될 수도 있음을 의미합니다.
만약 가까운 가족 중 한 명이 뇌전증을 가지고 있다면, 다른 가족 구성원들도 뇌전증을 발병할 가능성이 더 높아질 수 있습니다. 그러나 이는 단순히 유전적인 취약성을 의미할 뿐, 실제로 뇌전증을 발병할 것이라는 것을 의미하지는 않습니다. 환경 요소와 상호작용하는 유전적 요인이 뇌전증 발병에 영향을 미치는 것으로 알려져 있습니다.
뇌전증의 유전적인 요인은 뇌전증의 발병 가능성을 높일 수 있지만, 단독으로는 뇌전증을 일으키지 않습니다. 환경적인 요인과의 복합적인 작용이 필요하며, 정확한 발병 메커니즘은 아직 완전히 밝혀진 것은 아닙니다.
뇌 손상

뇌 손상은 뇌전증 발병에 중요한 역할을 합니다. 뇌 손상은 교통사고, 폭력적 충돌, 뇌졸중, 종양 등으로 인해 발생할 수 있습니다. 손상된 뇌 조직은 정상적인 신경세포의 활동을 방해하고 불규칙한 전기 신호를 생성할 수 있습니다.
외부 충격이나 다른 외부 요인으로 인해 뇌에 직접적인 손상이 발생할 수 있습니다. 예를 들어 교통사고, 스포츠 상해, 낙상 등이 여기에 해당합니다. 외부 손상은 뇌 조직을 직접적으로 손상시키고 뇌의 전기 신호 전달과 조절을 방해할 수 있습니다.
뇌졸중은 뇌 혈액 공급이 갑작스럽게 차단되는 상태로, 뇌 조직에 손상을 초래할 수 있습니다. 혈관의 특정 부분에 응고가 발생하거나 혈관이 파열되는 등의 문제로 인해 뇌졸중이 발생할 수 있습니다. 뇌졸중으로 인한 뇌 손상은 뇌의 전기 활동을 방해하고 불규칙하게 만들 수 있습니다.
또한 뇌 종양은 비정상적으로 성장한 세포들로 구성된 질량입니다. 종양은 뇌 조직을 압박하고 뇌 기능을 방해할 수 있습니다. 종양이 뇌의 전기 활동을 간섭하거나 뇌 조직에 직접적인 손상을 주는 경우 뇌전증의 발병 가능성이 높아질 수 있습니다.
선천적인 요인

뇌전증의 선천적인 요인은 개인이 태어날 때부터 가지고 있는 유전적인 요인이나 뇌 구조의 비정상적인 발달을 의미합니다. 이러한 선천적인 요인은 뇌의 전기 활동을 조절하는 과정에서 문제를 일으킬 수 있습니다. 일부 사람들은 태어날 때부터 뇌 구조의 비정상적인 발달을 가질 수 있습니다.
이는 선천적인 뇌 이상으로 알려져 있으며, 뇌의 전기 활동을 조절하는 데 문제를 일으킬 수 있습니다. 뇌 구조의 비정상적인 발달은 뇌의 신경세포의 배치나 연결, 신경전달물질의 분비 등과 관련될 수 있습니다. 선천적인 요인은 개인의 유전자에 의해 결정될 수 있습니다.
감염과 염증

몇 가지 감염성 질환은 뇌전증을 유발할 수 있습니다. 뇌염이나 중추신경계 감염은 뇌 조직에 염증을 일으키고 뇌의 전기 활동을 방해할 수 있습니다.
감염은 바이러스, 박테리아, 원충 등의 병원체로 인한 질환입니다. 일부 감염은 뇌 조직에 직접적으로 침범하여 염증과 손상을 일으킬 수 있습니다. 예를 들어, 중추신경계 감염으로는 뇌염이나 수막염이 있으며, 이러한 감염은 뇌 조직을 압박하고 뇌의 전기 활동을 방해할 수 있습니다.
염증은 면역 반응의 일부로서 조직 손상이나 외부 자극에 대한 방어 메커니즘입니다. 하지만 지나치거나 만연한 염증은 뇌 조직에 손상을 줄 수 있습니다. 염증은 뇌 조직 내의 염증 반응을 일으켜 뇌의 전기 활동을 방해하고 불규칙하게 만들 수 있습니다. 예를 들어, 뇌내 염증은 뇌의 신경세포를 손상시키고 신호 전달 과정을 방해할 수 있습니다.
약물과 약물 남용

일부 약물은 뇌전증의 원인이 될 수 있습니다. 약물 중독이나 약물의 오용은 뇌의 전기 활동을 변경하고 불규칙하게 만들 수 있습니다. 특히 중추 신경계를 억제하는 약물은 뇌전증의 발작을 유발할 수 있습니다.
호르몬 변화

호르몬 수준의 변화는 몇몇 사람들에게 뇌전증 발병 위험을 높일 수 있습니다. 여성의 경우 임신, 월경 주기의 변화, 갱년기 등과 관련하여 호르몬의 변화가 뇌의 전기 활동을 영향을 줄 수 있습니다.
뇌전증 전조증상


1. 부정확한 감각
뇌전증 환자는 특이한 냄새, 맛, 소리, 시각적 왜곡 등과 같이 일상적인 감각을 부정확하게 인식할 수 있습니다. 이러한 감각 변화는 일시적이며, 감각이 혼동될 수 있습니다.
뇌전증 환자는 특이한 냄새, 맛, 소리, 시각적 왜곡 등과 같은 오감을 경험할 수 있습니다. 예를 들어, 물건이 불현듯 과대 혹은 과소하게 보일 수 있거나, 소리가 왜곡되거나 늘어난 것처럼 들릴 수 있습니다. 부정확한 감각은 신체의 감각 체계에도 영향을 줄 수 있는데 피부의 이상한 감각을 느낄 수 있으며, 이는 가려움, 따가움, 찌릿한 느낌 등으로 나타날 수 있습니다.
뇌전증 환자는 시간이 빨라지거나 느려질 수 있으며, 시간의 경과에 대한 인식이 왜곡될 수 있습니다. 또한, 공간에 대한 감각도 혼란스러워질 수 있으며, 일상적인 환경이 왜곡되어 보일 수 있습니다. 또는 주변 환경에 대해 혼동스러워하거나 혼돈 상태에 빠질 수 있습니다. 이는 일시적이거나 일상적인 일의 파악이 어려울 정도로 영향을 미칠 수 있습니다.
2. 상태 변화

뇌전증 환자는 갑작스럽게 의식을 잃거나 의식 수준이 변할 수 있습니다. 이러한 상태 변화는 몇 초에서 몇 분 동안 지속될 수 있으며, 환자가 주변 환경에 대해 혼동스러워하거나 무의식적인 행동을 할 수 있습니다.
3. 경련 발작

뇌전증의 가장 대표적인 증상은 경련 발작입니다. 경련은 뇌에서 발생하는 과도한 전기 활동으로 인해 발생하며, 다양한 형태와 정도의 경련이 나타날 수 있습니다. 경련은 몸이 경련하는 것뿐만 아니라 인식 변화, 자동화 행동, 부정확한 감각 등의 다양한 증상과 함께 나타날 수 있습니다.
운동성 경련은 가장 흔한 형태의 경련으로, 근육의 긴장과 강직, 움직임의 불규칙성을 특징으로 합니다. 환자는 갑작스럽고 과도한 근육 수축과 움직임을 경험할 수 있으며, 팔다리가 경련하거나 몸이 경련하는 모습을 보일 수 있습니다.
간단 부분 발작은 특정 부위나 기능에 제한된 경련으로 나타납니다. 이는 손가락의 움직임이나 입술의 경련, 갑작스럽고 반복적인 자동화 행동 등으로 나타날 수 있습니다. 환자는 혼란하거나 어리둥절한 상태가 될 수 있으며, 반복적인 동작이나 말을 하거나 자동화된 행동을 수행할 수 있습니다.
또한 간질성 무감각 발작은 일시적인 감각의 손실을 특징으로 합니다. 특정 부위에서 감각을 잃게 되며, 찌릿함, 떨림, 혹은 저림과 같은 감각 변화를 경험할 수 있습니다.
4. 인식 변화

뇌전증 환자는 의식의 손실, 의식의 흐림, 인지 기능의 일시적인 저하 등이 나타날 수 있으며, 일부 환자는 간헐적으로 혼돈 상태에 빠질 수 있습니다.
5. 감정 변화

뇌전증은 감정 변화를 초래할 수 있습니다. 환자는 갑작스러운 감정 변화를 경험할 수 있으며, 공포, 불안, 흥분, 우울 등의 감정이 강해지거나 일시적으로 변화할 수 있습니다.
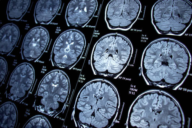
뇌전증 진단


- 환자의 병력을 수집하고, 발작 빈도, 발작의 유형, 증상의 경향 등과 관련된 정보를 파악합니다.
- 신경학적 검사를 통해 뇌와 신경계의 기능을 확인합니다. 이는 간단한 신경학적 검사로서, 운동 기능, 감각 기능, 반사 등을 확인하는 과정입니다.
- 전기뇌활동을 모니터링하는 검사를 하는데 일반적으로는 뇌파(EEG) 검사를 사용하여 뇌의 전기 활동을 기록하고 분석합니다. 이를 통해 발작 활동의 패턴과 특징을 확인할 수 있습니다.
- 뇌전증의 진단을 확인하기 위해 주로 자기공명영상(MRI) 또는 전산화단층촬영(CT) 스캔을 통해 뇌 구조의 이상이나 손상을 확인합니다.
- 혈액 검사를 통해 환자의 일반 건강 상태와 대사 이상 여부를 확인할 수 있습니다. 또한, 유전적인 원인을 의심하는 경우 유전자 검사 등의 추가적인 검사도 수행될 수 있습니다.
항문거근증후군 원인, 증상, 치료, 예방법
항문거근증후군 원인, 증상, 치료, 예방법을 참고하시기 바랍니다. 목차 1. 항문거근증후군이란? 2. 항문거근 기능 3. 항문거근증후군의 원인 4. 항문거근증후군의 증상 5. 항문거근증후군의 진단
beaute0202.com
기초대사량 계산기, 여자, 남자
기초대사량 계산기, 여자, 남자, 기초대사량 높이는 방법. 여러분의 신체 조건과 활동 수준에 기반하여 기초대사량을 빠르고 쉽게 추정할 수 있는 기초대사량 계산기가 많이 나와있습니다. 이
beaute0202.com
수족구 증상, 전염 및 잠복기
수족구 증상, 전염 및 잠복기와 예방까지! 수족구에 잠복기가 생기는 이유까지 알아봤습니다. 1. 수족구란? 2. 수족구 원인 3. 수족구 증상 4. 수족구 전염 5. 수족구 잠복기 6. 수족구 약 7. 예방방
beaute0202.com
간수치 낮추는법, 낮춰주는 음식
간수치 낮추는법 및 낮춰주는 음식. 간수치가 높으면 다양한 증상들이 나타나는데요. 어떤 증상과 정상 수치는 무엇인지 참고하시기 바랍니다. 목차 1. 간 수치란? 2. 간수치가 높으면? 3. 간 수치
beaute0202.com
멍 빨리 빼는 법, 멍 드는 과정과 색깔
멍 빨리 빼는 법, 멍 드는 과정과 색깔. 멍을 빨리 빼는 방법은 염증을 완화시키고 치유 과정을 가속화하는 다양한 방법들을 포함하고 있습니다. 멍이 생기면 지금 당장 대응하는 것이 중요하며,
beaute0202.com
안압 낮추는법, 안압이 높은 이유
안압 낮추는법, 안압이 높은 이유. 눈 안압을 낮추는 것은 눈 건강을 유지하기 위해 중요한 요소입니다. 안압이 지나치게 높으면 시력 손실이나 심지어 녹내장 등 심각한 질환을 초래할 수 있습
beaute0202.com
폐에 물이 차는 이유, 폐부종 증상과 원인 치료
폐에 물이 차는 이유, 폐부종 증상과 원인 치료. 폐부종은 심장이나 호흡기 문제로 인해 폐에 비정상적인 수량의 물이 쌓여 발생하는 질환으로, 호흡곤란과 부종 등 다양한 증상을 유발합니다.
beaute0202.com
레몬물 효능, 사용방법 및 주의사항
레몬물 효능 사용방법 및 주의사항. 레몬물은 상쾌한 맛과 향으로 알려진 과일 음료인데, 건강과 웰빙에 도움을 주는 이러한 효능으로 인해, 레몬물은 많은 사람들에게 인기를 끌고 있습니다.
beaute0202.com
목에 가래낀 느낌 및 없애는 법
목에 가래낀 느낌 및 없애는 법, 가래감은 목구멍, 기관지 등 호흡기관에 분비물이나 염증이 쌓여 생기는 증상입니다. 이 증상은 다양한 원인에 의해 발생할 수 있으며 그에 따라 적절한 조치가
beaute0202.com
당화혈색소 낮추기, 검사와 정상수치
당화혈색소 낮추기, 검사와 정상수치를 알아봤습니다. 당뇨병과 깊은 관계가 있는 당화혈색소의 기준 수치를 잘 알고 있어야 합니다. 검사방법은 어떻게 진행되고 수치를 낮추기 위해서는 어떤
beaute0202.com
똥꼬 가려움, 항문소양증 증상 및 원인
똥꼬 가려움, 항문소양증 증상 및 원인을 알아봤습니다. 한번 똥꼬가 가렵기 시작하면 정말 힘들고 어느 순간 계속 악순환이 되니 고통만 계속 이어집니다. 항문주위 가려움을 겪어 본 사람들만
beaute0202.com
클라인펠터 증후군, 남자가 유방이 나온다면?
클라인펠터 증후군, 남자가 유방이 나온다면? 대표적인 증상입니다. 클라인펠터 증상은 다양하게 더 있습니다. 어떤 증상과 원인 그리고 진단과 치료에 대해 알아봤습니다. 참고하시기 바랍니
beaute0202.com
산양유단백질을 먹어야 하는 이유, 근육의 중요성
산양유단백질을 먹어야 하는 이유, 근육의 중요성을 알아야 합니다. 산양유단백은 생산양유로 만든 단백질 제품으로 소화가 잘되어 중년 및 노년층의 단백질 보충에 적합합니다. 무엇보다 단백
beaute0202.com
병아리콩 효능 10가지와 칼로리, 부작용
병아리콩 효능 10가지와 칼로리, 부작용을 보기 전에 병아리콩은 7,500년 전부터 중동에서 재배된 것으로 추정되며, 인류 역사상 최초로 재배된 콩과 식물로 알려져 있습니다. 또한 미국 타임지에
beaute0202.com
목이 간지럽고 기침이 자주 난다면? 원인과 증상은 다양하다
목이 간지럽고 기침이 자주 나면 매우 불편하고 지속적으로 마른기침이 나서 힘이 듭니다. 기침이 계속하게 되면 여러 질환에 노출될 수 있고 자신이 매우 괴롭습니다. 정확한 검사를 해야 알지
beaute0202.com
'힐링 지식' 카테고리의 다른 글
| 기면증과 뇌의 관계 및 원인, 증상, 치료 (0) | 2023.07.14 |
|---|---|
| 파상풍 초기증상 및 주사 기간 (3) | 2023.07.13 |
| 초복날짜, 초복, 중복, 말복, 복날 날짜 (2) | 2023.07.08 |
| 모공각화증 미스트 효과 있을까? 셀프 치료는? (0) | 2023.07.07 |
| 수국 꽃말과 개화시기, 수국 종류 (1) | 2023.07.05 |

댓글