폐에 물이 차는 이유, 폐부종 증상과 원인 치료. 폐부종은 심장이나 호흡기 문제로 인해 폐에 비정상적인 수량의 물이 쌓여 발생하는 질환으로, 호흡곤란과 부종 등 다양한 증상을 유발합니다. 어떤 과정이 있는지 글을 참고해주세요.
목록
1. 폐부종이란?
왜 폐에 물이 차는지 이해하기
2. 폐부종의 주요 원인
심장 문제와 폐부종
호흡기 질환과 폐부종
기타 원인 소개 (폐렴, 알레르기 반응 등)
3. 폐부종의 증상
호흡 곤란
기침
흉통
부종 등
4. 폐부종의 진단과 치료
검사과정
치료 옵션 소개 (약물 치료, 심장 치료 등)
5. 건강한 심장과 폐를 유지하기 위한 방법
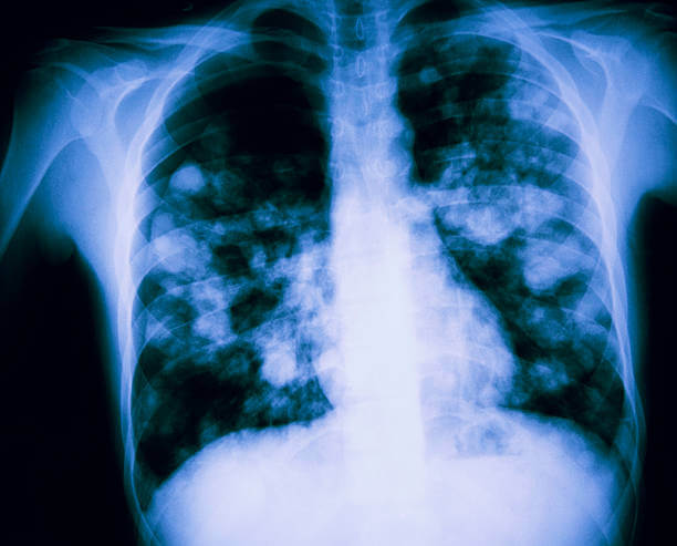
폐부종이란?


폐부종은 폐 조직 주변에 비정상적으로 많은 액체가 축적되는 상태를 말합니다. 이 액체는 폐에 물이 차는 것처럼 보이기 때문에 폐부종이라고 불립니다. 폐부종은 다양한 원인으로 인해 발생할 수 있으며, 심각한 증상을 유발할 수 있습니다.
폐는 기도를 통해 들어온 공기를 흡수하여 산소와 이산화탄소의 교환을 도와주는 중요한 역할을 합니다. 폐는 수많은 작은 공기 포처럼 생겼고, 이 공기 포처를 폐포라고 부릅니다. 정상적인 상황에서는 폐 조직 주변에는 액체가 적게 존재하며, 숨을 쉬는 과정에서 액체는 쉽게 제거됩니다.
그러나 다양한 원인으로 인해 액체가 폐 조직 주변에 축적되면, 액체의 양이 증가하여 폐에 물이 차게 됩니다. 이렇게 액체 축적은 폐 조직의 기능을 저하시키고 호흡에 어려움을 초래할 수 있습니다.
왜 폐에 물이 차는지 이해하기
폐부종은 폐의 확장이나 간질 등으로 인해 혈액이 정상적으로 폐로 순환되지 못하는 상황에서 주로 발생할 수 있습니다. 이러한 현상은 심장 문제로 인한 폐부종이 가장 흔하게 발생하는 원인입니다.
폐부종은 호흡 곤란, 기침, 흉통, 발목과 다리 부종 등의 증상을 유발할 수 있습니다. 중증한 경우, 체액의 과다 축적으로 인해 숨을 쉬는 것이 매우 어려워지고, 호흡기능이 저하되어 생명을 위협할 수도 있습니다.
폐부종은 증상의 심각성과 원인에 따라 다양한 치료 옵션이 있습니다. 폐부종의 원인을 파악하고, 심장 문제인 경우 심장 치료, 호흡기 질환인 경우 호흡기 치료 등이 시행될 수 있습니다.
폐부종의 주요 원인


심장 문제와 폐부종
심장은 혈액을 체내로 순환시키는 중요한 역할을 담당합니다. 만약 심장에 문제가 생기면, 혈액 순환에 문제가 발생할 수 있습니다. 심장 문제로 인해 심장의 펌프 작용이 약해지거나 심장 밸브가 이상하게 작동할 수 있습니다.
이로 인해 심장에서 폐로 흐르는 혈액의 양이 증가하게 되고, 폐 부종이 발생할 수 있습니다. 폐 부종은 폐 조직 주변에 액체가 쌓이는 것을 의미하며, 폐에 물이 차는 것처럼 보입니다. 이로 인해 폐 기능이 저하되고 호흡에 어려움이 생길 수 있습니다.
호흡기 질환과 폐부종
호흡기 질환은 폐를 포함한 기도 체계에 영향을 주는 질환을 말합니다. 폐렴, 만성 폐쇄성 폐질환(COPD), 폐고혈압 등이 이에 해당합니다. 호흡기 질환에서는 염증이 발생하면서 폐 조직 주변에 액체가 축적될 수 있습니다.
이로 인해 폐에 물이 차게 되어 폐부종이 발생할 수 있습니다. 호흡기 질환과 폐부종은 서로 연관되어 있으며, 호흡기 질환의 증상 중 하나로 폐부종이 나타날 수 있습니다. 호흡 곤란, 기침, 흉통 등의 증상이 나타날 수 있습니다.
기타 원인 소개 (폐렴, 알레르기 반응 등)


폐렴은 폐 조직에 염증이 생기는 감염성 질환입니다. 세균, 바이러스, 곰팡이, 기타 감염원으로 인해 발생할 수 있습니다. 폐렴은 염증 과정에서 폐 조직 주변에 액체가 축적될 수 있습니다. 이로 인해 폐에 물이 차게 되어 폐부종이 발생할 수 있습니다.
폐렴은 호흡 곤란, 기침, 가슴 통증, 발열 등의 증상을 유발할 수 있습니다. 심한 경우에는 산소 공급에 어려움이 생기고 호흡기능이 저하될 수 있습니다.
알레르기 반응은 면역 체계가 외부의 일반적으로는 무해한 물질에 과도하게 반응하는 상태입니다. 알레르기 반응이 폐에 영향을 미칠 경우, 염증이 발생하여 폐 조직 주변에 액체가 축적될 수 있습니다. 이로 인해 폐에 물이 차게 되어 폐부종이 발생할 수 있습니다.
흡입 알레르기 물질에 민감한 사람들은 폐에 액체 축적이 발생할 수 있는 알레르기성 폐부종에 취약할 수 있습니다. 알레르기 반응은 기침, 호흡 곤란, 가슴 답답함 등의 호흡기 증상을 유발할 수 있습니다.
폐부종의 증상


호흡 곤란
호흡곤란은 숨을 쉬기 어렵거나 답답한 느낌을 가지는 상태를 말합니다. 폐부종으로 인해 폐의 기능이 저하되면, 충분한 산소를 체내로 공급하기 어려워져 호흡곤란이 발생할 수 있습니다. 호흡곤란은 일상 생활에서 심한 활동 없이도 숨이 차거나 어지럽고 피곤해지는 증상으로 나타날 수 있습니다.
기침
기침은 폐 부종으로 인해 발생하는 하나의 증상입니다. 폐 조직 주변에 액체가 축적되면 기침 반사가 자극을 받아 기침이 나타날 수 있습니다. 기침은 건조하거나 가래가 있는 형태로 나타날 수 있으며, 심한 경우 가래나 피를 포함한 가끔 토해낼 수도 있습니다.
흉통
흉통은 가슴의 통증이나 불편한 감각을 의미합니다. 폐부종으로 인해 폐 조직이 압박을 받거나 염증이 발생할 경우 흉통이 나타날 수 있습니다. 흉통은 가슴 전체에 걸쳐 발생할 수 있으며, 무거움이나 압박감과 함께 호흡과 관련된 운동이나 심리적인 요인에 따라 증가할 수 있습니다.
부종 등
폐부종은 체액의 비정상적인 축적으로 인해 부종이 발생할 수 있습니다. 주로 발목이나 다리, 종종 얼굴과 손에도 부종이 나타날 수 있습니다. 부종은 신체의 일부가 붓는 느낌을 주며, 손가락으로 눌렀을 때 표시가 오래 유지될 수 있습니다.
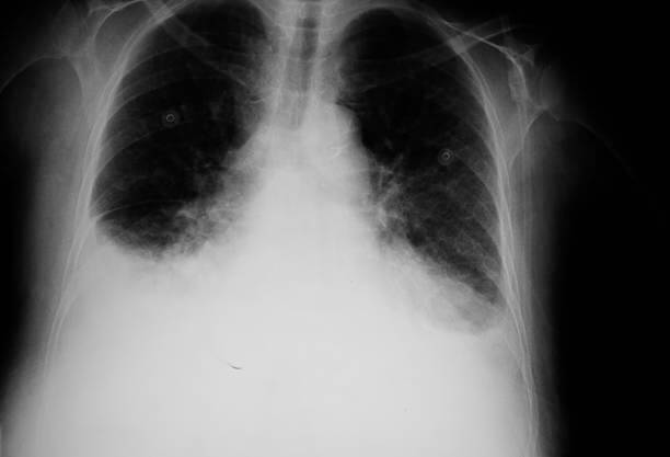
폐부종의 진단과 치료


검사과정
폐부종의 진단을 위해 다양한 검사가 수행될 수 있습니다. 이는 폐 기능 평가, 원인 파악 및 평가, 합병증 확인 등을 위한 목적으로 진행됩니다.
폐 기능 평가: 폐 기능을 평가하기 위해 폐기능 검사가 수행될 수 있습니다. 이는 폐의 체적, 체적 변화, 기도 통행능력 등을 평가하는데 도움을 줍니다.
원인 파악 및 평가: 폐부종의 원인을 확인하기 위해 심장 초음파, 심전도, 혈액 검사 등이 수행될 수 있습니다. 이는 심장 기능, 혈액 순환 상태, 심장질환 여부 등을 평가하는데 사용됩니다.
합병증 확인: 폐부종과 관련된 합병증 여부를 확인하기 위해 흉부 X-선, CT 스캔, 혈액검사 등이 수행될 수 있습니다. 이는 폐 이외의 다른 기관과 조직의 상태를 확인하는데 도움을 줍니다.
치료 옵션 소개 (약물 치료, 심장 치료 등)



약물치료는 심장과 폐의 기능을 강화하는 약물이 사용됩니다. 예를 들어, 심장 기능을 강화하기 위해 ACE 억제제, 베타 차단제, 디지털리스 등이 사용됩니다. 이러한 약물들은 심장의 혈액 순환을 개선하고 폐의 혈액순환을 돕습니다. 또한, 이뇨제를 사용하여 체내 불필요한 물을 제거하는 경우도 있습니다.
심장 치료는 폐부종이 심장 문제에 기인한 경우, 기저 질환이 치료되어야 합니다. 이를 위해 협심증, 고혈압, 심근경색 등과 같은 심장 질환을 치료하기 위해 다양한 방법이 사용됩니다.
또한 산소 치료는 호흡곤란이 심한 경우, 산소를 제공하여 호흡기능을 유지할 수 있습니다. 이를 위해 산소 마스크나 산소통을 사용하는데, 심각한 경우 호흡기 지원 장치를 사용할 수 있습니다.
폐부종이 심한 경우, 수술이 필요할 수 있습니다. 이러한 수술은 대개 폐에 대한 치료가 아니라, 기저 질환을 치료하는 것입니다. 예를 들어, 심장 판막수술이나 관상동맥 우회술 등이 있습니다. 폐부종 치료는 기저 원인을 치료하는 것이 가장 중요합니다.
따라서, 폐부종 치료를 위해서는 정확한 진단과 심장, 폐 기능의 평가가 필요합니다. 이를 위해 의료진의 상담과 검사를 받아야 합니다. 특히, 심장 초음파나 폐 기능 검사 등의 검사를 통해 폐부종 진단과 치료 계획을 수립할 수 있습니다.
건강한 심장과 폐를 유지하기 위한 방법


규칙적인 운동: 심장과 폐 건강을 유지하려면 규칙적인 신체 활동이 필요합니다. 유산소 운동(걷기, 달리기, 수영 등)은 심장과 폐 기능을 향상시키고 혈액순환을 촉진합니다. 매일 최소한 30분 이상의 운동을 꾸준히 실천하는 것이 좋습니다.
건강한 식습관: 심장과 폐 건강을 위해 균형 잡힌 식단을 유지해야 합니다. 신선한 과일, 야채, 곡물, 단백질을 포함한 다양한 영양소를 섭취해야 합니다. 과다한 포화 지방과 소금, 당의 섭취를 제한하고, 건강한 지방(올리브 오일, 어류)과 식이섬유를 포함한 식품을 선택해야 합니다.
금연: 담배 피우기는 심장과 폐 건강에 매우 해로울 수 있습니다. 금연을 통해 폐 기능을 개선하고 심장질환 발생 위험을 감소시킬 수 있습니다.
음주 제한: 과도한 음주는 심장과 폐 건강에 악영향을 미칠 수 있습니다. 음주를 적정 수준으로 제한하거나 가능하면 피하는 것이 좋습니다.
정기적인 건강 체크업: 심장과 폐 건강을 모니터링하기 위해 정기적인 건강 체크업을 받는 것이 중요합니다. 혈압, 혈당, 콜레스테롤 및 심전도 등을 확인하여 심장 및 폐 건강 상태를 파악할 수 있습니다.
스트레스 관리: 지속적인 스트레스는 심장과 폐에 부정적인 영향을 줄 수 있습니다. 스트레스 관리 기술(요가, 명상, 태창 등)을 활용하여 심신 안정을 취하고 긍정적인 마음가짐을 유지하는 것이 중요합니다.
잠복 결핵검사 및 증상, 치료, 비용
잠복 결핵검사 및 증상, 치료, 비용까지 알아봤습니다. 한국에서 결핵은 남성보다 여성이 노인보다 젊은 세대에 더 많이 발생한다고 합니다. 중요하게 보는 원인은 음식이나 스트레스가 원인인
beaute0202.com
뒷목 땡김 있는 두통과 여러가지 원인
뒷목 땡김 있는 두통 여러가지 원인들이 있습니다. 두통이 있을 때 목 뒤가 따끔거리는 느낌이 들고 어깨 승모근이 뭉쳐져있습니다. 근육이완제와 진통제를 자주 복용하고 어깨를 마사지해도
beaute0202.com
왼쪽가슴통증을 유발하는 흉부, 심장통증
왼쪽가슴통증을 유발하는 흉부 심장통증 원인에는 기본적으로 심장이 있기 때문에 심장 문제라고 생각합니다. 평소에 왼쪽가슴통증이 있을 때도 심장에 이상이 있는 것 같고 무섭다는 생각이
beaute0202.com
입술포진, 구순포진 원인과 치료방법
입술포진, 구순포진 원인과 치료방법, 입술포진은 아마 한번쯤은 걸렸을 정도로 흔한 바이러스 입니다. 흔하다고 해서 절대 가벼운 질병이 아니기에 원인과 증상들을 잘 알고 계셔야 합니다. 면
beaute0202.com
미주신경성 실신, 원인 및 증상
미주신경성 실신, 원인 및 증상을 알아봤습니다. 때때로 사람은 오랫동안 서 있거나 과도한 스트레스를 받은 후 갑자기 의식을 잃고 쓰러질 수 있습니다. 교감 신경이 어떤 원인에 의해 흥분되
beaute0202.com
망막전막증, 시력이 갑자기 떨어진다면?
망막전막증, 시력이 갑자기 떨어진다면? 우리의 눈은 사물을 보고 생각을 돕기 위해 뇌로 전달합니다. 안구의 구조는 홍채, 각막, 동공, 수정체, 결막, 공막, 망막 등 다양한 이름으로 구성되어
beaute0202.com
심장마비 전조증상, 원인과 예방하는 방법
심장마비 전조증상, 원인과 예방하는 방법을 알아봤습니다. 심장은 순환계의 중심 기관으로 심방 및 심실 심장 판막으로 구성됩니다. 인체에 심장은 그 무엇보다 중요한 기관이기 때문에 심장
beaute0202.com
폐암 초기증상, 폐경 이후 나빠진다.
건강보험 심사평가원 자료에 따르면 폐암 환자 10명 중 4명은 처음 진단받을 때 암세포가 이미 다른 장기로 전이된 4기에서 진단을 받는다. 실제로 폐암의 약 5~15%는 아무런 증상 없이 신체검사에
beaute0202.com
신우신염 증상, 신장이 안 좋으면 나타나는 증상
최근 여러 연구에 따르면 급성 신우신염의 사망률은 10~20% 정도이다. 그러나 조기에 적극적으로 적절한 치료를 하면 심한 염증의 경우에도 좋은 치료 결과를 얻을 수 있다. 급성 신우신염은 요로
beaute0202.com
'힐링 지식' 카테고리의 다른 글
| 눈 실핏줄 터짐 원인 9가지 및 치료 (0) | 2023.05.25 |
|---|---|
| 혓바늘 없애는법, 아프타성 구내염 원인과 치료 (0) | 2023.05.24 |
| 잇몸 내려앉음 증상, 원인과 진행과정 (0) | 2023.05.19 |
| 체리혈관종 제거 및 원인과 치료 (0) | 2023.05.18 |
| 새끼발톱 갈라짐, 원인과 예방방법 (0) | 2023.05.17 |
댓글