목젖 부었을때, 목젖 늘어짐이 있을 때 증상들이 있습니다. 날씨가 추워지거나 환절기에 많은 사람들이 감기에 걸리고 콧물, 기침, 인후염 때문에 인후통이 있습니다. 이렇게 추운 날씨에는 면역력이 떨어지기 쉬우니 건강관리에 더욱 신경을 쓰셔야 합니다. 그 중에도 목젖이 부었거나 늘어짐이 있는 원인과 증상을 참고하세요.
목차
1. 목젖이란?
2. 목젖 부었을때 나타나는 원인
3. 목젖이 부었을때 증상은?
4. 부었을때 증상 완화하는 방법
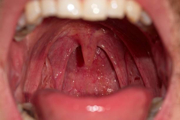
목젖이란?


목젖 또는 구개는 입 안쪽(구개)의 처진 부분을 말합니다. 발생학적으로 입천장의 좌우 조직이 하나로 연결된 단계에 남아있는 부분입니다. 코골이는 음주나 피로로 인해 연구개나 혀 근육과 함께 종양을 일으켜 기도를 막아서 발생합니다. 또한 입천장이 큰 사람들은 코를 골기 쉽습니다.
목젖 부었을때 나타나는 원인


바이러스
감기라고 생각하면 되는데 감염은 인후에 염증을 일으킵니다. 감염은 인후에 염증을 일으키지만, 바이러스가 얼마나 침투했는지, 현재 건강 상태에 따라 증상이 상대적으로 다르게 나타날 수 있습니다.
증상은 바이러스가 호흡기관에 얼마나 멀리 침투했는지 와 현재 건강 상태에 따라 다를 수 있습니다. 단핵구증, 감기, 독감, 인후통 등 다양한 유형의 감염이 있습니다.
또한 증상은 사람마다 그리고 감염 유형에 따라 다를 수 있습니다. 일반적인 증상으로는 림프절 부종, 코막힘, 기침, 발열, 피로, 몸살 등이 있습니다.
감기는 통증과 붓기를 유발할 수 있습니다. 계속해서 이상 증상이 나타난다면 병원에 내원하셔서 정확한 진료를 받으시는 것을 권해드립니다.
감염으로 인한 붓기는 물을 자주 마시는 것이 좋으며 충분한 휴식도 중요하며 진통제, 인후 스프레이 및 항생제는 증상을 완화시킬 수 있습니다.
편도 결석


이물질이 느껴지고 목이 부어오른다면 편도결석을 의심해볼 수 있습니다. 증상이 나타나지 않는 경우가 많아 원인을 찾기 어려울 수 있는데 평소와 달리 입 구취, 삼킬 때 이물감, 귀에 통증 등이 나타난다면 편도결석을 의심해보는 것이 좋습니다.
면역


약화 된 면역 체계는 문제를 일으킬 수 있습니다. 극심한 스트레스, 수면 부족, 영양 결핍 등은 신진대사의 원활한 흐름에 영향을 줄 수 있습니다.
알레르기


환절기나 봄철 꽃가루로 인해 목젖이 붓고 처지는 증상을 보이는 분들이 많습니다. 또한 체질에 맞지 않는 음식을 섭취했을 때 붓기가 생길 수 있으며, 동물의 털과 먼지도 붓기를 유발할 수 있습니다.
목이 부을 때 원인으로 알레르기에 대해 이야기 할 수도 있습니다. 피부와 조직의 부종 또한 알레르기의 전형적인 증상입니다. 많은 사람들이 다양한 유형의 알레르기를 가지고 있습니다.
어떤 사람들은 꽃가루, 풀 등에 알레르기 반응을 보이고 목이 부어 오릅니다. 붓기는 머리카락이나 먼지로 인해 발생할 수도 있습니다. 음식 알레르기도 매우 흔합니다. 우유, 땅콩, 견과류, 조개류, 과일과 같은 특정 음식에 알레르기가 있을 수 있습니다.
알레르기 특징이 피부가 부풀어 오르고 벌집처럼 부풀어 오릅니다. 재채기를 자주 할 수 있고, 눈물과 콧물로 인해 불편함을 느낄 수 있습니다.
눈이 부어오르고 코가 막혀 숨쉬기가 어려울 수 있습니다. 알레르기 반응이 발생하면 참지 말고 전문가의 도움을 받아 원인을 파악하고 약을 섭취하는 것이 좋습니다.
역류성식도염, 후두염


후두염, 역류성식도염 등의 질환은 목이 붓고 처지는 원인이 됩니다. 위에서 역류하는 위산이 목젖을 자극할 수 있기 때문이기 때문에 역류성 식도염이 심한 분들은 일단 역류성식도염이 호전되기위해 식습관을 신경 쓰셔야 합니다.
목젖이 부었을때 증상은?


| 목젖, 목이 가려움 | 목젖이 가려워서 습관적으로 혀로 긁습니다. |
| 인후통 | 감염이 진행됨에 따라 열과 함께 인후염이 발생할 수 있습니다. |
| 목 이물감 | 이질감을 많이 느끼기 때문에 음식을 삼키기가 어렵습니다. |
| 호흡곤란 | 심한 부기는 호흡 곤란을 유발할 수 있습니다. |
부었을때 증상 완화하는 방법


- 따뜻한 차나 물을 마시는 것이 도움이 됩니다. 목이 건조해지면 장기가 더 붓고 다른 증상이 심해지기 때문에 수분과 습도 조절이 중요합니다. 따뜻한 물을 마시고 도움이 되는 차로는 생강차, 대추차, 도라지차 등이 있습니다.
- 비타민C를 충분히 섭취하세요. 면역력이 낮아서 바이러스를 이기지 못해 생기는 질병이니 비타민C를 섭취하여 면역력을 강화합니다.
- 소금물로 닦는 것도 증상 완화에 도움이 됩니다. 입으로 감염되는 인후염의 경우 소금물과 생리식염수로 가글과 양치질을 하면 살균 효과가 있어 부어오를 때 증상 개선에 효과적입니다.
- 충분한 휴식을 취하십시오. 피로와 스트레스는 증상을 악화시킬 수 있으므로 충분한 수면과 영양가 있는 식단을 섭취하면 호전될 수 있습니다.
- 증상이 나타나면 음식을 삼키기 어렵고, 딱딱하고 튀긴 음식은 부어오른 목을 아프게 할 수 있으므로 부드러운 죽, 빵, 바나나 등이 좋습니다. 또 열이 심하면 아이스크림이 일시적으로 도움이 됩니다.
'힐링 지식' 카테고리의 다른 글
| 귓볼 몽우리 원인들, 귀뒤 피지낭종 (0) | 2023.04.12 |
|---|---|
| 똥꼬 가려움, 항문소양증 증상 및 원인 (0) | 2023.04.11 |
| 엉덩이 종기 원인과 관리하는 방법 (0) | 2023.04.07 |
| 콩팥이 안 좋으면 나타나는 증상들 (0) | 2023.04.06 |
| 왼쪽가슴통증을 유발하는 흉부, 심장통증 (0) | 2023.04.05 |
댓글